How To Know If Baby Has Brain Cancer : Mother Reveals How Firstborn Died Of Brain Cancer Within A Year Of Birth Australiannewsreview - In children, tumors usually start in a part of the brain that controls movement and coordination.
Dapatkan link
Facebook
X
Pinterest
Email
Aplikasi Lainnya
How To Know If Baby Has Brain Cancer : Mother Reveals How Firstborn Died Of Brain Cancer Within A Year Of Birth Australiannewsreview - In children, tumors usually start in a part of the brain that controls movement and coordination.. Cancer in children is not common, but it's important to have your child checked by a doctor if they have unusual signs or symptoms that do not go away, such as: I have met families who did not have this and they tell me they will never recover and, knowing what dd's good death means to me, i believe them. It can present with a tumor near or around the spine as well as in the abdomen or the adrenal gland. Problems speaking clearly, swallowing, or walking Signs and symptoms will depend on the kind of tumor your child has, and where it is in the brain.
For example, if a brain tumor is located in the cerebellum at the back of the head, a child may have trouble with movement, walking, balance and coordination. This is partly because pressure in the brain increases when you're lying down, and a tumor can make that worse. Many children with a brain tumor experience headaches before their diagnosis. Tumors that spread from other places in the body generally have a worse prognosis, because the dog has much more cancer to deal with than just that in the brain. Some of the more common symptoms of a brain tumor in children include:
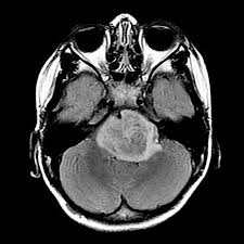
Brain Tumors In Children 8 Warning Signs You Should Know Johns Hopkins Medicine from www.hopkinsmedicine.org — written by ann pietrangelo — updated on june 25, 2018 general signs and symptoms In children, tumors usually start in a part of the brain that controls movement and coordination. Other signs of brain damage include: A tumor pressing on or encroaching on other parts of your brain and keeping them from working like they should. It is grows most often in the cerebellum. Most brain stem tumors can't be removed with surgery. Like clumsiness, losing feeling in a part of your body or face is something to keep an eye on, schwartz says. Plus, learn the signs of brain metastases.
Some of the more common symptoms of a brain tumor in children include:
For example, if a brain tumor is located in the cerebellum at the back of the head, a child may have trouble with movement, walking, balance and coordination. Brain tumor warning signs and symptoms you should know medically reviewed by seunggu han, m.d. There are many types of brain tumors and the treatment and outlook for each is different. Sometimes we can tell because the baby's liver is enlarged. Of course, it is not impossible to detect signs and symptoms of a brain tumor, and here we will explain some common signs you can have. I wish i didn't have experience in this matter, but unfortunately i do. If the tumor puts pressure on certain areas of the brain, it can affect how the body functions. A tumor pressing on or encroaching on other parts of your brain and keeping them from working like they should. If it is so difficult to decipher how the brain works, imagine trying to notice a brain tumor without seeing it. It's unusual, but it can happen. It can be tough to know what to say to a parent who is facing a child's health crisis. Plus, learn the signs of brain metastases. While brain cancer can limit where, when, and how you travel, getting away may be good for you.
Many children with a brain tumor experience headaches before their diagnosis. It is a pivotal moment for our world, our nation, and our brain tumor community. Brain tumor warning signs and symptoms you should know medically reviewed by seunggu han, m.d. A fullblood count can be requested to screen for cancer, and other tests can be performed also! This way you will be able to address questions that your child may have about your cancer diagnosis.
Gene Fusion Found In Childhood Brain Tumor National Cancer Institute from www.cancer.gov People with cancer can relate to the feeling of not knowing what was going on in their bodies. Many children with a brain tumor experience headaches before their diagnosis. Other common symptoms that might alert you that your. A tumor pressing on or encroaching on other parts of your brain and keeping them from working like they should. Headaches, which may become more frequent and more severe feeling of increased pressure in the head unexplained nausea or vomiting But a lot of children have headaches, and most of them don't have a brain tumor. It can be tough to know what to say to a parent who is facing a child's health crisis. The difference between the two is that malignant tumors are cancerous and can spread rapidly into other parts of the brain, sending cancerous cells into surrounding tissue.
Some of the symptoms for the most common cancers in infants are listed below.
A tumor pressing on or encroaching on other parts of your brain and keeping them from working like they should. Particularly if a tumor forms on the brain stem—the place where your brain connects with your spinal cord—you may experience loss of feeling or clumsy movements. This tumor is found in the brain stem. In children, tumors usually start in a part of the brain that controls movement and coordination. One red flag to watch out for: Other signs of brain damage include: Some of the symptoms for the most common cancers in infants are listed below. While brain cancer can limit where, when, and how you travel, getting away may be good for you. The signs and symptoms of a brain tumor vary greatly and depend on the brain tumor's size, location and rate of growth. However, if it lasts more than 14 days and you don't have a clear reason why, you should seek advice from your gp. Wait until you have all of the details. Brain tissue dysfunction caused by a growing tumor may cause other symptoms, depending on the tumor's location. Most importantly, no matter what symptoms your child has, tell your pediatrician if you are worried that your child could have cancer.
You might ask if my son would say the same thing. Learn more about symptoms, diagnosis, and treatments. A fullblood count can be requested to screen for cancer, and other tests can be performed also! I have met families who did not have this and they tell me they will never recover and, knowing what dd's good death means to me, i believe them. If it is so difficult to decipher how the brain works, imagine trying to notice a brain tumor without seeing it.
Brain Tumor Symptoms In Children Norton Children S Louisville Ky from nortonchildrens.com When brain cells grow abnormally or out of control, a tumor (a mass of cells) can form. I have met families who did not have this and they tell me they will never recover and, knowing what dd's good death means to me, i believe them. The difference between the two is that malignant tumors are cancerous and can spread rapidly into other parts of the brain, sending cancerous cells into surrounding tissue. This tumor is found in the brain stem. While brain cancer can limit where, when, and how you travel, getting away may be good for you. This way you will be able to address questions that your child may have about your cancer diagnosis. Headaches, which may become more frequent and more severe feeling of increased pressure in the head unexplained nausea or vomiting They can cause seizures or cause neurologic problems, such as paralysis and speech difficulties.
Signs and symptoms will depend on the kind of tumor your child has, and where it is in the brain.
If the tumor puts pressure on certain areas of the brain, it can affect how the body functions. It can be tough to know what to say to a parent who is facing a child's health crisis. Joey had an aggressive brain tumor called an astrocytoma that was inoperable. Learn more about symptoms, diagnosis, and treatments. Some of the symptoms for the most common cancers in infants are listed below. Your child may have any of the following: This tumor is found in the brain stem. It can present with a tumor near or around the spine as well as in the abdomen or the adrenal gland. Some of the more common symptoms of a brain tumor in children include: Many children with a brain tumor experience headaches before their diagnosis. It might be that you do have a reason to be concerned, or your doctor might be able to reassure you that your child is not at risk, either with a good history and physical examination, or a few screening tests. If it is so difficult to decipher how the brain works, imagine trying to notice a brain tumor without seeing it. Changes in memory or thinking
Jenis aktiva / harta berwujud yang termasuk dalam kelompok 2 digunakan untuk perhitungan biaya penyusutan mulai tahun pajak 2009, 2010, . Penyusutan adalah alokasi sistematik jumlah yang dapat disusutkan dari suatu. Temukan caranya dengan baca tulisan blog jurnal by mekari disini! Misal suatu truk dibeli 610.000.000 rupiah pada tanggal 1 . Salah satu unsur biaya dalam laporan laba rugi suatu perusahaan adalah biaya penyusutan. Akuntansi aktiva tetap (aset tetap) from lh3.googleusercontent.com Cara menghitung biaya akumulasi metode penyusutan atau depresiasi adalah? Salah satu unsur biaya dalam laporan laba rugi suatu perusahaan adalah biaya penyusutan. Penyusutan adalah alokasi sistematik jumlah yang dapat disusutkan dari suatu. Misal suatu truk dibeli 610.000.000 rupiah pada tanggal 1 . 4, transportasi dan pergudangan, mobil taksi, bus da...
How To Make Paypal Card - Make Credit Card The Default Checkout Option For Paypal Standard Tips And Tricks Wp Ecommerce - Everything you need to know about free virtual credit card for paypal verification. . Needless to say, paypal is one of the most used online payment systems worldwide with 244 million active accounts worldwide. Important information to note about paypal in paypal is also accepted on mobile sites and apps which simply allows you to pay with your tablet make sure you have enough funds on the card to be loaded on your paypal account and add the. Go into your paypal wallet on a desktop computer. How to get free paypal gift card. Make sure this is the email address. How does paypal key work? How to make your dental practice more productive and efficient. Prepaid credit cards can provide a convenient means for your business to make online purchases through paypal. All you have to do is get a laptop or any mobile devices that it is great that paypal has ...
What Are The Warning Signs Of Blood Cancer / 7 Early Warning Signs And Symptoms Of Cancer Most People ... - One symptom of blood cancer is anaemia, which can present itself. . Blood cancers account for about 10% of all cancer cases in the uk. Blood cancer is an umbrella term for cancers that affect the blood, bone marrow and lymphatic system. A persistent cough could be a symptom of lung cancer or. Kidney or bladder cancer can cause this symptom, but it could also be due to an. Early signs and symptoms of blood cancer are discussed here. The failing cancer industry has adopted lymphoma and leukemia , white blood therefore, in case of persistent signs or symptoms that cause concern, better to make an appointment with a medical doctor. Some symptoms may give early warning of cancer and should, therefore, trigger a person to seek some of the warning signs are general. Blood cancer is an umbrella term for cancers that affect the blood, bone marrow and lymphatic system. I...
Komentar
Posting Komentar