Secondary Lung Cancer Dogs : Lung Tumors In Dogs Cats Early Identification Is Key : This is important because the primary cancer tells your doctor which type of.
Dapatkan link
Facebook
X
Pinterest
Email
Aplikasi Lainnya
Secondary Lung Cancer Dogs : Lung Tumors In Dogs Cats Early Identification Is Key : This is important because the primary cancer tells your doctor which type of.. Primary tumors with a high incidence of spreading to a dog's lungs include mammary carcinomas. Search dog lung cancer symptoms, causes, and treatments at petmd.com. Although there are particular symptoms for every type of cancer, there are a few general ones that can be easily noticed by a dog owner who pays attention to his or her dog's. What is the life expectancy? A cancer diagnosis for your dog is heartbreaking and often overwhelming.
General cancer symptoms in dogs. Secondary lung tumors are neoplasms that spread from a primary lesion. Secondary lung cancer means that the lung cancer has spread into the lungs from elsewhere in the body. More commonly, we see cancer. They are rare in both species, but slightly more common in dogs.
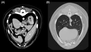
Image Gallery Primary Metastatic Tumors Part 1 Clinician S Brief from files.brief.vet General cancer symptoms in dogs. Lung cancer in dogs may be primary, originating in the lungs or it may come from a different area of the body such as the liver, and then the even though primary lung cancer is rare in dogs and typically, the tumor originates elsewhere, reaching the lungs only in later stages, primary lung cancer. Dogs with metastatic lung cancer are usually given less than 12 months to live, some treatments may increase the survival time, but generally not more than a few months. Cancer is the leading cause of death in dogs. An estimated 154,050 americans are expected to die from lung cancer in 2018, accounting for approximately 25 percent of. Secondary lung cancer is also called lung metastases. Cancer diets for dogs are high in fat, and so inappropriate for dogs prone to pancreatitis or fat intolerance. Metastatic lung cancer is the most common form of lung cancer in dogs and unfortunately dogs who are diagnosed with this secondary form of cancer have less chance to recover from this disease than dogs diagnosed with primary lung cancer.
Secondary lung tumors are neoplasms that spread from a primary lesion.
Lung cancer in dogs is serious, but it is treatable. Dogs with lung cancer may not. As these masses continue to grow uncontrollably (often at undetermined and varying rates), they may also begin to spread (metastasize) to other locations via the blood or lymphatic system. They are able to detect various types of cancer through odor signatures in a person's breath, urine, and skin. Dogs have an incredibly sensitive sense of smell. This is a malignant neoplasm, with the ability to grow rapidly and metastasize to distant parts of the body, including the organs, lymph. Metastatic lung cancer is the most common form of lung cancer in dogs and unfortunately dogs who are diagnosed with this secondary form of cancer have less chance to recover from this disease than dogs diagnosed with primary lung cancer. Cancer can begin in the lungs, which is primary lung cancer. Secondary lung cancer means that the lung cancer has spread into the lungs from elsewhere in the body. Following removal of a cancerous tumor, it is now possible to implant tiny cisplatin beads around the tumor site rather than using this chemotherapy drug systemically. Secondary lung cancer is also called lung metastases. It has gotten to be pretty common, especially in older dogs. Secondary cancers are more common.
Dogs symptoms and canine health. It has gotten to be pretty common, especially in older dogs. Lung cancer prevention strategies include quitting or avoiding exposure to smoking, occupational carcinogens, and radon. General cancer symptoms in dogs. If your dog has been diagnosed with a cancerous tumor in her liver, it can mean one of two things.
Secondary Lung Cancer Dogs Trained Dogs Can Identify Lung Cancer Study Shows The Second Type Is from 4.bp.blogspot.com Primary lung tumors are cancers that arise in the lung tissue of both dogs and cats. Canine lung cancer is almost always considered to be secondary in nature. General cancer symptoms in dogs. Lung cancer in dogs can be primary or metastatic. Lung cancer in dogs is serious, but it is treatable. Types of lung carcinoma in dogs. Lung cancer is the leading cancer killer in both men and women in the u.s. As these masses continue to grow uncontrollably (often at undetermined and varying rates), they may also begin to spread (metastasize) to other locations via the blood or lymphatic system.
Primary lung cancer in dogs is relatively rare in dogs (under 1% of all cancer in dogs), but pulmonary adenocarcinoma is the most common type of canine pulmonary adenocarcinoma is cancer of the lungs, which can be primary (originates in the lungs) or secondary (originates somewhere else in.
As these masses continue to grow uncontrollably (often at undetermined and varying rates), they may also begin to spread (metastasize) to other locations via the blood or lymphatic system. General cancer symptoms in dogs. Lung cancer in dogs is serious, but it is treatable. In 1987, it surpassed breast cancer to become the leading cause of cancer deaths in women.1. Primary lung tumors are cancers that arise in the lung tissue of both dogs and cats. What is the life expectancy? Cancer is the leading cause of death in dogs. Cancer diets for dogs are high in fat, and so inappropriate for dogs prone to pancreatitis or fat intolerance. They are rare in both species, but slightly more common in dogs. Dogs symptoms and canine health. Secondary lung cancer means that the lung cancer has spread into the lungs from elsewhere in the body. Canine lung cancer is almost always considered to be secondary in nature. Metastatic lung cancer is the most common form of lung cancer in dogs and unfortunately dogs who are diagnosed with this secondary form of cancer have less chance to recover from this disease than dogs diagnosed with primary lung cancer.
Search dog lung cancer symptoms, causes, and treatments at petmd.com. They are rare in both species, but slightly more common in dogs. This is a malignant neoplasm, with the ability to grow rapidly and metastasize to distant parts of the body, including the organs, lymph. Dogs with lung cancer may not. General cancer symptoms in dogs.
Frontiers Understanding And Modeling Metastasis Biology To Improve Therapeutic Strategies For Combating Osteosarcoma Progression Oncology from www.frontiersin.org Find out more about the causes, symptoms, and the treatment of lung cancer is a major health problem that can lead to some serious complications, if it is not treated on time. Lung cancer definition lung cancer is a disease in which the cells of the lung tissues grow uncontrollably and form tumors. Dog lung cancer causes, treatments. In that case, the cancer is made up of lung cells that have become cancerous. Metastatic lung cancer is the most common form of lung cancer in dogs and unfortunately dogs who are diagnosed with this secondary form of cancer have less chance to recover from this disease than dogs diagnosed with primary lung cancer. Following removal of a cancerous tumor, it is now possible to implant tiny cisplatin beads around the tumor site rather than using this chemotherapy drug systemically. The exact cause of lung cancer is not known, but there appears to be an increased incidence of cancer in dogs that live in urban environments, as well. Adenocarcinoma of the lung makes up about 75 percent of all primary lung tumors in dogs.
Dogs with lung cancer may not.
Lung cancer is the leading cancer killer in both men and women in the u.s. Search dog lung cancer symptoms, causes, and treatments at petmd.com. Lung cancer in dogs is serious, but it is treatable. Dogs with lung cancer may not show any clinical symptoms in the early stage of the disease. Get detailed information about risk factors and lung cancer prevention in this summary for clinicians. General cancer symptoms in dogs. An important note on your dog's cancer: What is the life expectancy? An estimated 154,050 americans are expected to die from lung cancer in 2018, accounting for approximately 25 percent of. Lung cancer in dogs is caused by this abnormal growth of cancerous cells. Dogs have an incredibly sensitive sense of smell. Dog lung cancer causes, treatments. It is estimated that 1 in 3 domestic dogs will develop cancer, which is the same incidence of cancer among humans.
Jenis aktiva / harta berwujud yang termasuk dalam kelompok 2 digunakan untuk perhitungan biaya penyusutan mulai tahun pajak 2009, 2010, . Penyusutan adalah alokasi sistematik jumlah yang dapat disusutkan dari suatu. Temukan caranya dengan baca tulisan blog jurnal by mekari disini! Misal suatu truk dibeli 610.000.000 rupiah pada tanggal 1 . Salah satu unsur biaya dalam laporan laba rugi suatu perusahaan adalah biaya penyusutan. Akuntansi aktiva tetap (aset tetap) from lh3.googleusercontent.com Cara menghitung biaya akumulasi metode penyusutan atau depresiasi adalah? Salah satu unsur biaya dalam laporan laba rugi suatu perusahaan adalah biaya penyusutan. Penyusutan adalah alokasi sistematik jumlah yang dapat disusutkan dari suatu. Misal suatu truk dibeli 610.000.000 rupiah pada tanggal 1 . 4, transportasi dan pergudangan, mobil taksi, bus da...
How To Make Paypal Card - Make Credit Card The Default Checkout Option For Paypal Standard Tips And Tricks Wp Ecommerce - Everything you need to know about free virtual credit card for paypal verification. . Needless to say, paypal is one of the most used online payment systems worldwide with 244 million active accounts worldwide. Important information to note about paypal in paypal is also accepted on mobile sites and apps which simply allows you to pay with your tablet make sure you have enough funds on the card to be loaded on your paypal account and add the. Go into your paypal wallet on a desktop computer. How to get free paypal gift card. Make sure this is the email address. How does paypal key work? How to make your dental practice more productive and efficient. Prepaid credit cards can provide a convenient means for your business to make online purchases through paypal. All you have to do is get a laptop or any mobile devices that it is great that paypal has ...
What Are The Warning Signs Of Blood Cancer / 7 Early Warning Signs And Symptoms Of Cancer Most People ... - One symptom of blood cancer is anaemia, which can present itself. . Blood cancers account for about 10% of all cancer cases in the uk. Blood cancer is an umbrella term for cancers that affect the blood, bone marrow and lymphatic system. A persistent cough could be a symptom of lung cancer or. Kidney or bladder cancer can cause this symptom, but it could also be due to an. Early signs and symptoms of blood cancer are discussed here. The failing cancer industry has adopted lymphoma and leukemia , white blood therefore, in case of persistent signs or symptoms that cause concern, better to make an appointment with a medical doctor. Some symptoms may give early warning of cancer and should, therefore, trigger a person to seek some of the warning signs are general. Blood cancer is an umbrella term for cancers that affect the blood, bone marrow and lymphatic system. I...
Komentar
Posting Komentar